Dental cleaning and polishing
+ Free comprehensive Consultation
from 600aed now only 299aed
Our Package Includes

Comprehensive dental consultation
Gain insights into your oral health with a detailed examination by our experienced dentists. We'll address your concerns and provide a personalized treatment plan for your smile.

Digital Scanning
Experience cutting-edge technology with our precise digital scans. These 3D images ensure accurate assessments and tailored recommendations for your dental needs.

Thorough dental cleaning and polishing
Refresh your smile with a deep cleaning that removes plaque and tartar buildup, followed by polishing for a smooth, radiant finish.
Keep Your Smile Healthy!
Keep Your Smile Healthy This Winter!
Winter is the perfect time to prioritize your dental health. Here’s why a professional cleaning is essential during the season:
🦷 Combat Holiday Indulgence: Sweet treats and festive feasts can increase plaque buildup. A thorough cleaning ensures your teeth stay healthy and cavity-free.
❄️ Seasonal Sensitivity: Cold weather can amplify tooth sensitivity. Removing tartar and polishing your teeth can help reduce discomfort and keep your smile shining.
🌟 Start the New Year Fresh: A clean, polished smile is the perfect way to boost your confidence and embrace the season with renewed energy!Book your winter cleaning today and give your teeth the care they deserve.
Keep Your Smile Healthy!
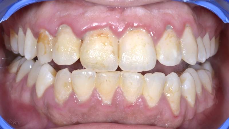
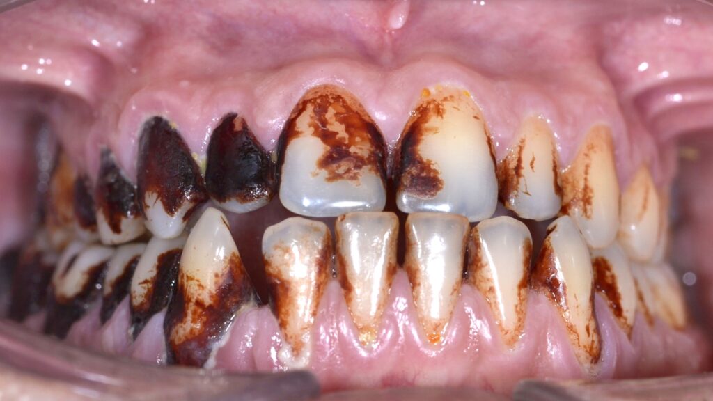
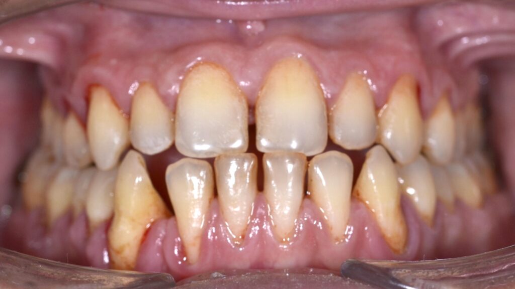
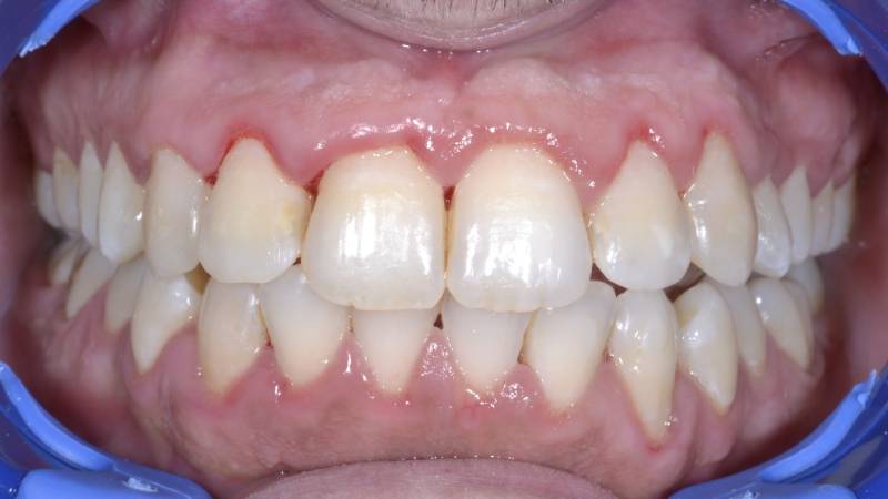
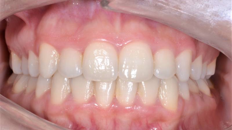
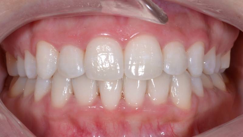
Real Patient Cases
Keep Your Smile Healthy!
Testimonials
Keep Your Smile Healthy!
We use Ultrasonic and Airflow technology for a thorough and effective dental cleaning.
Ultrasonic and Airflow technologies provide the most effective and gentle dental cleaning. Ultrasonic tools remove plaque and tartar efficiently, while Airflow uses a fine jet of air, water, and powder to clean hard-to-reach areas, ensuring a thorough, non-invasive treatment that leaves your teeth feeling smooth and refreshed.
Why Choose Us

Expert Care

Advanced Technology

Comfortable Experience

Personalized Attention

Smile Perfection

Comprehensive Approach
Keep Your Smile Healthy!
Book a Consultation
Frequently Asked Questions
Regular teeth cleaning primarily targets the surfaces of your teeth and the spaces between your teeth and gums, removing plaque and tartar buildup. On the other hand, scaling and polishing goes a step further, cleaning beneath the gum line and smoothing the tooth surfaces to help prevent future plaque accumulation.
Most patients experience minimal to no discomfort during scaling and polishing. While some sensitive areas may feel slight pressure or discomfort, local anesthesia can be used to ensure your comfort if needed.
After scaling and polishing, some patients may experience mild sensitivity or gum tenderness. However, these effects are typically temporary and subside quickly.
Keep Your Smile Healthy!
Our Expert Team of Dentists
Dr. Reji Moideen
Dr. Shashank Trivedi
Dr. Vishita Navin
Dr. Neha Singh
Dr. Ketki Rajebahadur