Patient Stories
Patient stories
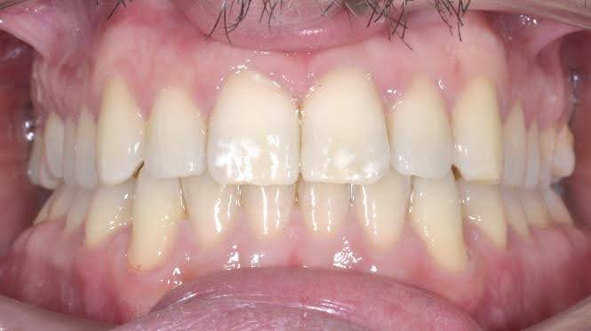
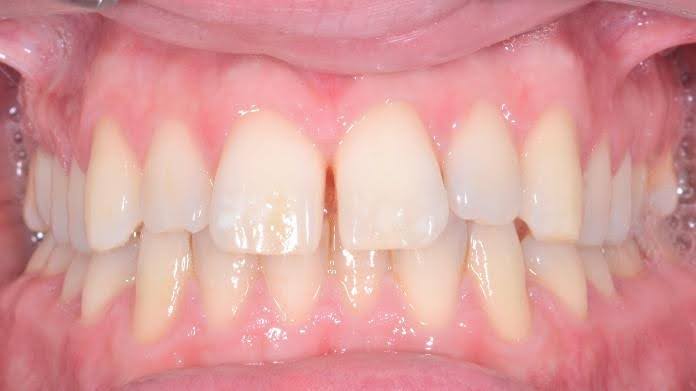
Maitha's Story
"The dentist explained really well, they explained everything really well."
Background:
Treatment:
Result:
"Mint Dental Care Rocks. They are amazing, this is why I would advise fo you to tak Mint Dental Clinic for your Invisalign"
Before and After


Patient stories
warapan's Story
"At first, my teeth weren't beautiful, and I've always wanted to have them fixed."
Background:
Treatment:
Result:
"I feel good and happy because my smile is beautiful."
Before and After


Patient stories
Sam’s Story
“I’ve had composite bonding on my two front teeth, and nobody would ever notice it.”
Background:
Treatment:
Result:
“I feel well looked after. The service is great, and I’d highly recommend Mint Dental Care. It’s easy to communicate with them through WhatsApp too.”
Patient stories
Amro’s Story
“The root canal with Dr. Neha was painless and amazing!”
Background:
Treatment:
Result:
“I’ve had both root canal and veneer treatments with Dr. Neha, and it was completely painless. The entire experience was fantastic!”
Before and After


Patient stories
Shela’s story
“I have finished my Invisalign and I am very very satisfied”
Background:
Treatment:
Result:
“I like this clinic. All the staffs are very friendly and I am very very satisfied. I also like Dr Reji and Dr Zee as they so easy to talk to and they made me comfortable all throughout my treatment”
Before and After


Patient stories
Mark’s Story
"After 4 years of bad experiences at other dentists, I finally found a dentist I could trust. Thankfully, I was referred to Mint Dental Care."
Background:
Treatment:
Result:
"I am really, really happy with this place, and I will wholeheartedly recommend it with no reservations." – Mark Swann
Before and After
Patient stories
Marco’s Story
"I found Mint Dental Care through Instagram, and after checking many clinics, they stood out as the best—both in price and customer service."
Background:
Treatment:
Result:
"The experience was amazing. They were always so kind and helpful, and they answered every question I had."
Before and After